
普瑞瑪“實驗動物模型與藥物評價”專欄十一 | 定量口鼻吸入法建立大鼠慢性阻塞性肺病模型助力創新藥研發來源:普瑞瑪 時間:2023-12-11 14:53:40 瀏覽:1162
慢性阻塞性肺病(chronic obstructive pulmonary disease,COPD)是肺氣腫和(或)慢性支氣管炎導致的以氣道不完全可逆性氣流受限為特征的一類慢性呼吸系統疾病[1-3]。木瓜蛋白酶非特異性作用于肺泡間隔的彈性纖維,可造成肺組織血管壁和支氣管破壞,引起炎癥,從而誘發肺氣腫;與此同時,香煙煙霧是慢阻肺發病最相關的危險因素之一,煙霧暴露造模可接近人類COPD的患病環境[4-5]。本中心可使用不同種屬動物采用不同造模方法,根據煙霧濃度和吸入時長進行量化,根據需求調整造模時長來復制穩定、均一、個體差異小的COPD模型,為該類疾病模型的藥物藥效作用評價提供新思路。 1.COPD動物模型及選擇 當前COPD動物模型種類較多,主要為煙霧暴露模型、細菌感染模型、氣道炎癥模型等。本中心建立了煙霧全身暴露、煙霧口鼻吸入、口鼻霧化吸入木瓜蛋白酶等COPD模型構建方法,同時借助該類模型為COPD治療藥物項目提供多項非臨床有效性評價服務。 1.1 煙霧法 1.1.1 SD大鼠煙霧全身暴露法 煙霧全身暴露組SD大鼠采用自制煙霧暴露箱(400 mm × 300 mm × 400 mm)進行全身煙霧暴露,每天1次,每次60 min,動物接觸煙霧途徑包括口鼻吸入、皮膚和毛發接觸等,連續8周,分別于吸入染毒第1、7、15、21天經氣管滴注1 mg/kg的LPS,以誘導形成大鼠慢性阻塞性肺部模型。 1.1.2 SD大鼠口鼻吸入法 煙霧口鼻吸入組SD大鼠每天經口鼻吸入固定濃度的煙霧顆粒(以總顆粒物計,1.1 mg/L;以尼古丁計,0.1 mg/L),每天1次,每次60 min,連續8周,分別于吸入染毒第1、7、15、21天經氣管滴注1 mg/kg的LPS,以誘導形成大鼠慢性阻塞性肺部模型。 1.1.3 試驗結果 煙霧口鼻吸入組大鼠肺功能FEV0.2/FVC、Cdyn指標均較煙霧全身暴露組下降更為明顯,Penh增加更明顯;煙霧口鼻吸入組大鼠肺泡灌洗液IL-6、TNF-α水平在造模后6周即可見顯著增加,煙霧全身暴露組大鼠需至造模8周。煙霧口鼻吸入組和全身暴露組大鼠造模后支氣管炎癥病變程度基本相當,但肺氣腫病變程度以口鼻吸入組更嚴。
注:各組大鼠體重增長曲線圖。與正常對照組相比,*P < 0.05,**P < 0.01,+P < 0.05,++P < 0.01;與煙霧口鼻吸入組相比,#P < 0.05
注:與正常對照組相比,*P < 0.05,**P < 0.01
注:與正常對照組相比,*P < 0.05,**P < 0.01
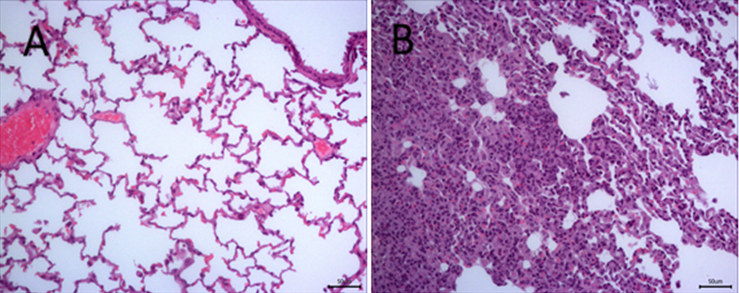
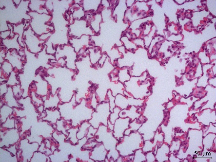
正常對照組 Normal control group 煙霧全身暴露組 Whole body exposure group 煙霧口鼻吸入組 Smoke inhalation group
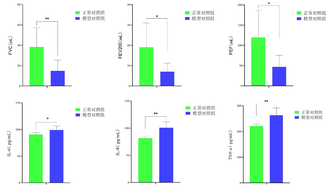
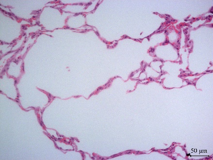
1.2 氣道炎癥法 選用新西蘭兔經耳緣靜脈注射1次木瓜蛋白酶,注射后7天,經超聲霧化器霧化0.5%的木瓜蛋白酶吸入,4h/次,每周吸入1次,共3次,以誘導形成實驗兔COPD模型。 1.2.2 試驗結果 與正常對照組比較,模型對照組實驗兔FVC、FEV200、PEF均明顯減少,肺中IL-6、IL-8、TNF-α水平均明顯增加(P < 0.05);模型對照組實驗兔肺組織結構嚴重破壞,肺泡隔數明顯減少,支氣管上皮細胞輕度至重度增生或壞死,肺泡腔重度擴大,并伴有中等至大量的炎性細胞浸潤。
注:與正常對照組相比,+P < 0.05,++P < 0.01。
正常對照組 Normal control group 模型對照組 Model control group
2.小結 本中心分別采用煙霧全身暴露、煙霧口鼻吸入、口鼻霧化吸入木瓜蛋白酶等COPD模型構建方法,其中煙霧全身暴露法可真實模擬人類被動吸煙患病環境;煙霧口鼻吸入法可通過煙霧濃度和粒徑分布進行驗證和監測,造模劑量能根據煙霧濃度和吸入時長進行量化,并可根據需求調整造模時長來復制不同嚴重程度的COPD模型;口鼻霧化吸入木瓜蛋白酶法通過道炎癥,進而復制COPD模型,可根據藥物不同的治療機制,選擇不同的模型動物及造模方式對藥物有效性進行評價。 3.參考文獻 [1] Christenson SA, Smith BM, Bafadhel M, et al. Chronic obstructive pulmonary disease [J]. Lancet, 2022, 399(10342): 2227-2242. [2] Yang IA, Jenkins CR, Salvi SS. Chronic obstructive pulmonary disease in never-smokers: risk factors, pathogenesis, and implications for prevention and treatment [J]. Lancet Respir Med, 10(5): 497-511. [3] Segal LN, Martinez FJ. Chronic obstructive pulmonary disease subpopulations and phenotyping [J]. J Allergy Clin Immunol, 2018, 141(6): 1961-1971. [4] Sevilla-Montero J, Labrousse-Arias D, Fernández-Pérez C, et al. Cigarette smoke directly promotes pulmonary arterial remodeling and Kv7.4 channel dysfunction [J]. Am J Respir Crit Care Med, 2021, 203(10): 1290-1305. [5] Liu D, Zhang HC. Methods for animal models of chronic obstructive pulmonary disease [J]. Chin J Comp Med, 2020, 30(3):7.
|